Case 16 - Composite Bonding, Whitening

Before - Denpure Dental Before
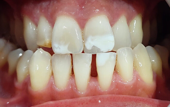
After - Denpure Dental After

This patient had very unsightly white spot, treated conservatively using Icon technique along with composite bonding, patient was extremely pleased with the results.

For more information regarding this treatment
Contact Us OR Call: 01895 678 889
Back to Smile Gallery

Get in touch

Treatment - Denpure Dental butterfly purple green plain shape

General Dentistry

Your local primary dental care providers.

learn more
Treatment - Denpure Dental butterfly purple green plain shape

Cosmetic Dentistry

Excellent dentistry speaks for itself.

learn more
Treatment - Denpure Dental butterfly purple green plain shape

Teeth Straightening

Start your straightening journey today.

learn more
Treatment - Denpure Dental butterfly purple green plain shape

Dental Implants

Your future smile begins with dental implants.

learn more
Treatment - Denpure Dental butterfly purple green plain shape

Facial Aesthetics

We can help enhance the way you look.

learn more
Treatment - Denpure Dental butterfly purple green plain shape

Advanced Dentistry

Ask us about Advanced Dentistry.

learn more
Treatment - Denpure Dental butterfly purple green plain shape

Missing Teeth

Talk to us about missing teeth.

learn more

testimonials

We love our patients

star 1

“Dr Roshani Dali is extremely professional and truly the best dentist I have ever had, with minimal discomfort, and she made me fee...”

Mr Alty

star 1

“I am so impressed with the treatment I have had here - Quick Straight Teeth. The dentist gave me all the information I needed and ...”

Alexis Szurgot

star 1

“Just like anyone I was very nervous to see the dentist and at my initial consultation Mr Makhijani put me at such an ease that gav...”

Mr J Cooper

star 1

“Dear Dr Mandeep Birah ! I would like to thank you for your very caring treatment for my daughter who has been very nervous patient...”

Mrs S Smith

star 1

“Throughout my course of treatment I was given best care and attention by all dental team which I would love to recommend to all my...”

Mr A Gupta

View our testimonials

Flow-Flow message: Stream with specified ID not found or no feeds were added to stream

instagram instagram Instagram

facebook facebook Facebook

Google Rating
4.8
Google Rating
Googlewidget-icon